Αρθροπάθεια των αρθρώσεων του γόνατος (γονάρθρωση) - συμπτώματα και θεραπεία

Αρθροπάθεια της άρθρωσης του γόνατος (γονάρθρωση) είναι μια προοδευτική χρόνια πάθηση των αρθρώσεων του γόνατος με βλάβη, λέπτυνση και καταστροφή του χόνδρινου τμήματος του (αρθρικές επιφάνειες μηριαίου οστού και κνήμης), καθώς και βλάβη στο υποχόνδριο οστό. Έχει αποδειχθεί με μελέτες (αρθροσκόπηση και μαγνητική τομογραφία) ότι εκτός από βλάβες στον αρθρικό χόνδρο εμπλέκονται στη διαδικασία οι μηνίσκοι και ο αρθρικός υμένας. Η γονάρθρωση είναι μια από τις πιο συχνές ορθοπεδικές παθολογίες. Υπάρχουν τα συνώνυμά του - οστεοαρθρίτιδα (ΟΑ), παραμορφωτική αρθροπάθεια. Η νόσος αποτελεί σημαντικό κοινωνικοοικονομικό πρόβλημα, καθώς είναι ευρέως διαδεδομένο και επιδεινώνει σημαντικά την ποιότητα ζωής των ασθενών λόγω του συνεχούς πόνου και, επιπλέον, γίνεται αιτία υψηλής αναπηρίας.

γονάρθρωση της άρθρωσης του γόνατος

Μέχρι τα μέσα της δεκαετίας του ογδόντα του περασμένου αιώνα, δεν υπήρχε ενιαίος ορισμός της νόσου. Μόλις το 1995 η επιτροπή οστεοαρθρίτιδας του Αμερικανικού Κολλεγίου Ρευματολογίας χαρακτήρισε την ασθένεια ως αποτέλεσμα μηχανικών και βιολογικών παραγόντων που οδηγούν σε ανισορροπία μεταξύ των διαδικασιών αποδόμησης και σύνθεσης της εξωκυτταρικής μήτρας του αρθρικού χόνδρου. Ως αποτέλεσμα, εμφανίζεται αποσύνθεση και εκφύλιση των ινών, σχηματίζονται ρωγμές, οστεοσκλήρωση και συμπίεση της φλοιώδους στιβάδας του υποχόνδριου οστού, αναπτύσσονται οστεόφυτα και σχηματίζονται υποχόνδριες κύστεις.

Γιατί εμφανίζεται η αρθροπάθεια της άρθρωσης του γόνατος;

Οι παράγοντες κινδύνου για την αρθροπάθεια περιλαμβάνουν:

  • χρόνιος τραυματισμός (παραβίαση σωματικής δραστηριότητας, υπερβολικό βάρος).
  • ενδοκρινικές, φλεγμονώδεις, μεταβολικές και ισχαιμικές ασθένειες.
  • η παρουσία συγγενών ή επίκτητων διαταραχών των σχέσεων, του σχήματος ή της δομικής οργάνωσης των αρθρικών άκρων.

Εάν παρατηρήσετε παρόμοια συμπτώματα, συμβουλευτείτε το γιατρό σας. Μην κάνετε αυτοθεραπεία - είναι επικίνδυνο για την υγεία σας!

Συμπτώματα αρθρώσεων των αρθρώσεων του γόνατος

Η οστεοαρθρίτιδα της άρθρωσης του γόνατος χαρακτηρίζεται από:

  • σταδιακή έναρξη?
  • ήπιος πόνος στην άρθρωση κατά την κίνηση, ειδικά όταν ανεβοκατεβαίνουμε τις σκάλες.
  • «Σφίξιμο», δυσκαμψία και «πόνος έναρξης» που εμφανίζεται κατά τα πρώτα βήματα και μειώνεται ή εξαφανίζεται εάν ο ασθενής «αποκλίνει», μετά από σημαντική σωματική δραστηριότητα επανέρχεται.
  • η εμφάνιση του γόνατος παραμένει ίδια. Μερικές φορές υπάρχει ελαφρύ πρήξιμο ή συσσώρευση υγρού στην άρθρωση. Ταυτόχρονα, το γόνατο αυξάνεται σε όγκο, πρήζεται, επιπεδώνεται και γίνονται αισθητοί περιορισμοί στην κίνηση και βάρος.

Οδυνηρές αισθήσεις

Καθώς η νόσος εξελίσσεται, ο πόνος γίνεται πιο έντονος, εμφανίζεται ακόμη και με μικρή προσπάθεια και πολύ περπάτημα. Εντοπίζεται κατά μήκος της πρόσθιας-εσωτερικής επιφάνειας της άρθρωσης. Η παρατεταμένη ανάπαυση συνήθως βοηθάει τον πόνο να υποχωρήσει.

Περιορισμένη κινητικότητα της άρθρωσης του γόνατος και χαρακτηριστικό τσάκισμα

Με την αρθροπάθεια, το εύρος των κινήσεων της άρθρωσης μπορεί να μειωθεί, μπορεί να εμφανιστεί τσούξιμο και οξύς πόνος εμφανίζεται όταν το πόδι είναι λυγισμένο στο μέγιστο.

Παραμόρφωση γόνατος

Η διαμόρφωση της άρθρωσης αλλάζει, σαν να επεκτείνεται.

υμενίτιδα

Η αρθρίτιδα της άρθρωσης του γόνατος είναι μια φλεγμονή της επένδυσης της εσωτερικής κοιλότητας της άρθρωσης. Η ασθένεια εκδηλώνεται με τη μορφή διόγκωσης του γόνατος, ερυθρότητας του δέρματος και περιορισμένης κινητικότητας της άρθρωσης. Με την ανάπτυξη της αρθροπάθειας, η αρθρίτιδα εμφανίζεται πιο συχνά, διαρκεί περισσότερο και περιλαμβάνει μεγάλη ποσότητα υγρού.

Το τελευταίο στάδιο της γονάρθρωσης διακρίνεται από το γεγονός ότι ο πόνος γίνεται σχεδόν σταθερός, προκαλώντας άγχος όχι μόνο κατά το περπάτημα, αλλά και κατά την ανάπαυση, ακόμη και τη νύχτα, όταν οι ασθενείς πρέπει να αναζητήσουν μια άνετη θέση για ύπνο. Η κίνηση είναι πιο περιορισμένη: είναι δύσκολο να λυγίσεις και να ισιώσεις τελείως το πόδι. Η άρθρωση παραμορφώνεται και αυξάνεται σε όγκο. Συχνά παρατηρείται παραμόρφωση Valgus (σχήματος X) ή varus (σε σχήμα Ο) των ποδιών. Το βάδισμα γίνεται ασταθές και κουνιέται. Σε σοβαρές περιπτώσεις χρειάζεται μπαστούνι ή πατερίτσες.

επιπλοκές της αρθροπάθειας του γόνατος

Σύμφωνα με ερευνητές, το 76% των ηλικιωμένων που παραπονούνται για πόνο στο γόνατο έχουν ακτινογραφίες που δείχνουν γονάρθρωση. Σύμφωνα με στατιστικά στοιχεία, οι γυναίκες προσβάλλονται συχνότερα από τη νόσο, η οποία συνδέεται με ορμονικές αλλαγές μετά από 45 χρόνια.

Παθογένεια αρθρώσεων των αρθρώσεων του γόνατος

Υπάρχουν πρωτοπαθείς και δευτεροπαθείς οστεοαρθρίτιδα.

Πρωτοπαθής αρθροπάθεια της άρθρωσης του γόνατος

  • Ο αρθρικός χόνδρος καταστρέφεται και ανανεώνεται συνεχώς. κανονικά, αυτές οι διαδικασίες είναι ισορροπημένες. Με την ηλικία, η ανανέωση του χόνδρου επιβραδύνεται και αρχίζει να κυριαρχεί η καταστροφή, η οποία ονομάζεται διαδικασία υποβάθμισης ή εκφυλισμού. Το βάρος ενός ατόμου παίζει σημαντικό ρόλο, αφού με μάζα 70 κιλών σε 20 βήματα κουβαλάμε 700 κιλά σε κάθε πόδι (70 κιλά x 10 βήματα), και με μάζα 120 κιλά κουβαλάμε ήδη 1200 κιλά σε κάθε πόδι. Επομένως, ο αδύναμος χόνδρος φθείρεται πολύ πιο γρήγορα.
  • είναι απαραίτητο να θυμάστε: η άρθρωση λαμβάνει θρεπτικά συστατικά και αποκαθίσταται ενώ κινείται. Ο καθιστικός τρόπος ζωής μειώνει τις μεταβολικές διεργασίες και τα απαραίτητα στοιχεία δεν φτάνουν στον χόνδρο.
  • Υπάρχουν αμφιλεγόμενα στοιχεία σχετικά με τον κληρονομικό ρόλο στην εμφάνιση της νόσου. Εάν οι γονείς είχαν αρθροπάθεια, τότε η πιθανότητα εμφάνισής της στα παιδιά αυξάνεται.
  • εμφανίζεται λόγω αυτοάνοσης αρθρικής φλεγμονής.

Δευτεροπαθής αρθροπάθεια της άρθρωσης του γόνατος

  • τραυματισμούς (κατάγματα, ρήξεις μηνίσκου και πρόσθιου χιαστού συνδέσμου). Δυστυχώς, σε κάθε άτομο, ανεξαρτήτως ηλικίας, αυτοί οι τραυματισμοί οδηγούν σε υπερβολικό στρες στον χόνδρο. Ένα κάταγμα οποιουδήποτε τμήματος των οστών που καλύπτεται με χόνδρο συνοδεύεται από το σχηματισμό μιας ανομοιομορφίας - ενός "βήματος". Σε αυτήν την περιοχή, κατά την κίνηση, εμφανίζεται τριβή και σχηματίζεται αρθροπάθεια.
  • ρευματοειδής αρθρίτιδα, νόσος του Koenig (osteochondritis dissecans), συνέπειες πυώδους φλεγμονής στην άρθρωση (γονίτιδα) κ.λπ.
  • περιφερειακές αγγειακές διαταραχές.
  • χρόνιες εξιδρωματικές-πολλαπλασιαστικές και κυκλικές συγκολλητικές διεργασίες στην άρθρωση.
ρωγμή στην άρθρωση του γόνατος

Με την αρθροπάθεια (οστεοάρθρωση), εκτός από την προοδευτική καταστροφή του χόνδρου, την απώλεια της ελαστικότητάς του και τις ιδιότητες απορρόφησης κραδασμών, τα οστά εμπλέκονται σταδιακά στη διαδικασία. Υπό φορτίο, εμφανίζονται αιχμηρές άκρες (εξωστώσεις), οι οποίες λανθασμένα θεωρούνται «αποθέσεις αλατιού» - με την κλασική αρθροπάθεια, δεν εμφανίζεται εναπόθεση αλατιού. Καθώς η αρθροπάθεια εξελίσσεται, συνεχίζει να «τρώει» τον χόνδρο. Στη συνέχεια το οστό παραμορφώνεται, εκεί σχηματίζονται κύστεις, επηρεάζονται όλες οι δομές της άρθρωσης και το πόδι λυγίζει.

Εκτός από το εσωτερικό ή το εξωτερικό μέρος του γόνατος, η αρθροπάθεια μπορεί επίσης να επηρεάσει τις επιφάνειες μεταξύ της επιγονατίδας και της μεσοκονδυλικής αύλακας του μηριαίου οστού. Αυτή η επιλογή ονομάζεται επιγονατιδομηριαία αρθροπάθεια.

Η αιτία της είναι συνήθως ένα υπεξάρθρημα, κάταγμα ή πλευρική εξάρθρωση της επιγονατίδας.

Πώς φαίνεται η αρθροπάθεια της άρθρωσης του γόνατος;

Ταξινόμηση και στάδια ανάπτυξης αρθρώσεων των αρθρώσεων του γόνατος

Ανεξάρτητα από την αιτία, υπάρχουν τρία στάδια γονάρθρωσης, ή παραμορφωτική αρθροπάθεια της άρθρωσης του γόνατος.

Γονάρθρωση, στάδιο Ι

Το πρώτο στάδιο της νόσου χαρακτηρίζεται από πρωτογενείς αλλαγές στον υαλώδη χόνδρο. Οι δομές των οστών δεν επηρεάζονται. Η παροχή αίματος στα ενδοοστικά αγγεία και τα τριχοειδή αγγεία διαταράσσεται. Η επιφάνεια του χόνδρου ξηραίνεται και χάνει την ομαλότητά του. Εάν η νόσος συνοδεύεται από συνεχή τεταμένη αρθρίτιδα, τότε αναπτύσσεται κύστη Baker (κήλη προεξοχή της αρθρικής κάψας της ιγνυακής περιοχής). Μετά από σημαντική πίεση στην άρθρωση, εμφανίζεται αμβλύς πόνος. Μπορεί να υπάρχει ελαφρύ πρήξιμο που υποχωρεί μετά την ανάπαυση. Δεν υπάρχει παραμόρφωση.

Γονάρθρωση, στάδιο II

Στο δεύτερο στάδιο, το στρώμα του χόνδρου γίνεται απότομα λεπτότερο και σε ορισμένα σημεία απουσιάζει εντελώς. Τα οστεόφυτα εμφανίζονται κατά μήκος των άκρων των αρθρικών επιφανειών. Τα ποιοτικά και ποσοτικά χαρακτηριστικά του αρθρικού υγρού της άρθρωσης αλλάζουν - γίνεται πιο παχύρρευστο, πιο παχύρρευστο, γεγονός που οδηγεί σε επιδείνωση των θρεπτικών και λιπαντικών ιδιοτήτων του. Ο πόνος είναι πιο παρατεταμένος και έντονος και συχνά εμφανίζεται ένας ήχος τσακίσματος κατά την κίνηση. Υπάρχει ελαφρός ή μέτριος περιορισμός της κίνησης και ελαφρά παραμόρφωση της άρθρωσης. Η λήψη αναλγητικών βοηθά στην ανακούφιση του πόνου.

Γονάρθρωση, στάδιο III

Έλλειψη χόνδρου στις περισσότερες πληγείσες περιοχές, σοβαρή σκλήρυνση (σκλήρυνση) του οστού, πολλά οστεόφυτα και απότομη στένωση ή απουσία του αρθρικού χώρου. Ο πόνος είναι σχεδόν σταθερός, το βάδισμα είναι εξασθενημένο. Η κινητικότητα είναι έντονα περιορισμένη και η παραμόρφωση της άρθρωσης είναι αισθητή. Τα ΜΣΑΦ, η φυσιοθεραπεία και άλλες τυπικές μέθοδοι θεραπείας της αρθρώσεως του γόνατος είναι αναποτελεσματικές.

Τύποι γοναρθρώσεων

Ανάλογα με τον αριθμό των προσβεβλημένων αρθρώσεων, διακρίνεται η μονόπλευρη και η αμφοτερόπλευρη γονάρθρωση.

Επιπλοκές αρθρώσεων των αρθρώσεων του γόνατος

Η πιο συχνή επιπλοκή των σταδίων ΙΙ και ΙΙΙ είναι η τενοκολπίτιδα της ομάδας προσαγωγών μυών του μηρού. Αυτό εκδηλώνεται με πόνο κατά μήκος της εσωτερικής επιφάνειας της άρθρωσης, ο οποίος εντείνεται με την κίνηση. Η αιτία είναι η μυϊκή ανισορροπία και η παραμόρφωση. Με μακροχρόνια μείωση του εύρους κίνησης, αναπτύσσεται η σύσπαση. Επιπλέον, συχνά εμφανίζεται αρθρίτιδα.

Συνέπειες προχωρημένης γονάρθρωσης

Η γονάρθρωση επηρεάζει ολόκληρο το μυοσκελετικό σύστημα, διαταράσσοντας την εμβιομηχανική της σπονδυλικής στήλης και άλλων μεγάλων αρθρώσεων των κάτω άκρων. Αυτό μπορεί να οδηγήσει σε δισκοκήλη και αρθρίτιδα άλλων αρθρώσεων. Η δεύτερη άρθρωση του γόνατος είναι υπερφορτωμένη (αν η νόσος είναι μονόπλευρη), αφού ο ασθενής γλιτώνει το πονεμένο πόδι, μεταφέροντας το βάρος στο άλλο, υγιές.

Διάγνωση αρθρώσεων των αρθρώσεων του γόνατος

Ενόργανη διάγνωση της αρθρώσεως της άρθρωσης του γόνατος

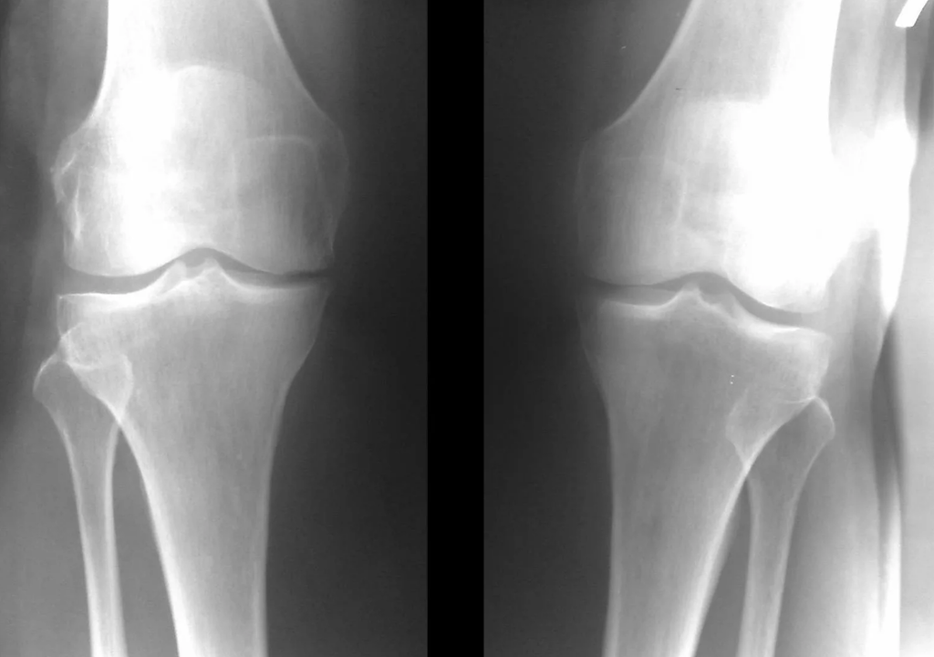
Στη συντριπτική πλειοψηφία των περιπτώσεων αρκεί η εξέταση και η ακτινογραφία της άρθρωσης του γόνατος σε δύο προεξοχές (άμεσες και πλάγιες). Τα κλινικά δεδομένα και οι εικόνες βοηθούν στον προσδιορισμό του σταδίου της νόσου.

διάγνωση της αρθρώσεως της άρθρωσης του γόνατος

Στα αρχικά στάδια της νόσου, με μικρές αλλαγές στον οστικό ιστό, η ακτινογραφία δεν είναι τόσο πολύτιμη. Σε αυτό το στάδιο, η γονάρθρωση μπορεί να διαγνωστεί μέσω αρθροσκόπησης. Η ακρίβεια της μεθόδου είναι πολύ υψηλή. μόνο η επεμβατική φύση και η τιμή του μπορούν να το σταματήσουν.

Το υπερηχογράφημα δεν επιτρέπει σαφή απεικόνιση των αλλαγών στον αρθρικό χόνδρο και στις ενδοαρθρικές δομές. Χρησιμοποιώντας μαγνητική τομογραφία, μπορείτε να ανιχνεύσετε αλλαγές στις δομές των οστών, του χόνδρου και των μαλακών ιστών της άρθρωσης, καθώς και στο υποχόνδρινο οστό, με ακρίβεια 85%. Το σπινθηρογράφημα μπορεί να χρησιμοποιηθεί για την αξιολόγηση της μεταβολικής δραστηριότητας του περιαρθρικού οστικού ιστού.

Εργαστηριακή διάγνωση αρθρώσεων της άρθρωσης του γόνατος

Η αυξημένη περιεκτικότητα σε φώσφορο και ασβέστιο στο αφυδατωμένο αρθρικό υγρό είναι απόδειξη της καταστροφής του οστεοχόνδριου ιστού της άρθρωσης και της συσσώρευσης προϊόντων αποδόμησης. Εξετάζεται επίσης αίμα - γενική ανάλυση και ρυθμός καθίζησης ερυθροκυττάρων (ESR). προσδιορίζει το επίπεδο του ινωδογόνου, της ουρίας και άλλων βιοχημικών παραμέτρων του αίματος και των ούρων.

Είναι δυνατόν να θεραπευθεί πλήρως η παραμορφωτική αρθροπάθεια της άρθρωσης του γόνατος;

Η γονάρθρωση μπορεί να θεραπευτεί πλήρως μόνο στο πρώιμο στάδιο της νόσου.

Ποιος γιατρός αντιμετωπίζει την παραμορφωτική αρθροπάθεια της άρθρωσης του γόνατος;

Ένας τραυματολόγος-ορθοπεδικός ή ρευματολόγος κάνει μια διάγνωση και συνταγογραφεί θεραπεία.

Θεραπεία αρθρώσεων των αρθρώσεων του γόνατος

Συντηρητικός — αντιφλεγμονώδη φάρμακα, παυσίπονα, μυοχαλαρωτικά, αγγειακά, χονδροπροστατευτικά, κομπρέσες, kinesiotaping, φυσικοθεραπεία, φυσιοθεραπεία, ορθώσεις.

Ελάχιστα επεμβατική- Παρααρθρικοί αποκλεισμοί (φάρμακο Novocaine + ανακουφίζει από τον πόνο και τη φλεγμονή), έγχυση τεχνητού λιπαντικού στην ίδια την άρθρωση, ανύψωση πλάσματος.

Χειρουργική — αρθροσκόπηση (μια χαμηλού τραυματισμού μέθοδος θεραπείας ενδοαρθρικών παθολογιών και αφαίρεσης κατεστραμμένων δομών), ενδοπροσθετική.

Φαρμακευτική θεραπεία (φάρμακα για τη θεραπεία της αρθρώσεως της άρθρωσης του γόνατος)

Οι συντηρητικές μέθοδοι είναι πιο αποτελεσματικές στο αρχικό στάδιο της νόσου. Βοηθούν στη μείωση του πόνου και επιβραδύνουν προσωρινά την καταστροφή του χόνδρου. Στο στάδιο II, χρειάζονται πιο αποτελεσματικές μέθοδοι. Η εισαγωγή παρασκευασμάτων υαλουρονικού οξέος στην κοιλότητα της άρθρωσης χρησιμοποιείται για τη μείωση της τριβής και του τραύματος στον χόνδρο. Δεν υπάρχουν σαφείς αποδείξεις για την αποκατάσταση του χόνδρου, αλλά είναι καλό για τη λίπανση επιφανειών. Η «θεραπεία PRP» (πλασμολίφτινγκ) είναι η έγχυση πλάσματος πλούσιου σε αιμοπετάλια στην άρθρωση του γόνατος, το οποίο λαμβάνεται από το αίμα του ίδιου του ασθενούς με φυγοκέντρηση. Τρέφει τον χόνδρο και προάγει την αποκατάστασή του, καθώς τα αιμοπετάλια του αυτοπλάσματος περιέχουν πολυάριθμους αυξητικούς παράγοντες και κυτοκίνες που προάγουν την αναγέννηση του κατεστραμμένου ιστού.

Χειρουργική θεραπεία και ενδοπροσθετική

Η αντικατάσταση της ενδοπρόσθεσης είναι μια κοινή και αποτελεσματική χειρουργική μέθοδος για τη θεραπεία της σοβαρής γονάρθρωσης, η οποία σας επιτρέπει να διατηρήσετε την κινητικότητα των άκρων και την ικανότητα να ζήσετε μια πλήρη ζωή στη συνέχεια. Πρόκειται για μια επέμβαση υψηλής τεχνολογίας που διαρκεί περίπου μιάμιση ώρα. Στην μετεγχειρητική περίοδο είναι απαραίτητη η μακροχρόνια αποκατάσταση και ανάπτυξη της άρθρωσης. Μετά από 25-30 χρόνια, όταν η τεχνητή άρθρωση φθαρεί, χρειάζεται και πάλι αντικατάσταση.

αντικατάσταση γόνατος

Φυσικοθεραπεία και κινησιοθεραπεία

Οι μέθοδοι φυσικοθεραπείας και κινησιοθεραπείας για τη θεραπεία της αρθρώσεως της άρθρωσης του γόνατος είναι αναποτελεσματικές.

Διαιτοθεραπεία

Μια δίαιτα χρειάζεται μόνο για να διατηρηθεί ένα φυσιολογικό βάρος. δεν υπάρχουν περιορισμοί στην κατανάλωση ορισμένων τροφών για γονάρθρωση.

Βοηθά ο αποκλεισμός στη γονάρθρωση;

Για την αρθροπάθεια της άρθρωσης του γόνατος, χρησιμοποιείται ένας παρααρθρικός αποκλεισμός - μια ένεση του φαρμάκου στον μαλακό ιστό γύρω από την άρθρωση. Κατά τη διάρκεια της διαδικασίας, προσδιορίζεται η περιοχή της φλεγμονής και τα σημεία πόνου κοντά στην άρθρωση, το δέρμα θεραπεύεται με οινόπνευμα και στην περιοχή αυτή εγχέεται υδροκορτιζόνη με αναισθητικό.

Θεραπευτικές ασκήσεις για αρθρώσεις

Οι θεραπευτικές ασκήσεις είναι χρήσιμες τόσο για ασθενείς που πάσχουν από γονάρθρωση όσο και για την πρόληψη αυτής της νόσου. Αποτελεσματικές ασκήσεις:

  • πλήρη κάμψη και επέκταση του ποδιού, ξαπλωμένη ανάσκελα.
  • Σηκώνοντας ένα ίσιο πόδι ψηλά ενώ ξαπλώνετε ανάσκελα.

Πρόβλεψη. Πρόληψη

Πρέπει να καταλάβετε ότι εάν η αρθροπάθεια αρχίσει να αναπτύσσεται, τότε πρέπει να αντιμετωπιστεί αμέσως. Εάν διατρέχετε κίνδυνο για αυτήν την ασθένεια, μπορείτε να καθυστερήσετε την έναρξη, για αυτό συνιστάται:

  • μείωση της πίεσης στην άρθρωση του γόνατος.
  • κολύμπι - το νερό ανακουφίζει από το άγχος.
  • κάντε μασάζ στους μύες του κάτω ποδιού και του μηρού μόνοι σας.
  • αποφύγετε την υποθερμία και την υπερκόπωση.
  • διατήρηση φυσιολογικού βάρους?
  • κόψτε το κάπνισμα και το αλκοόλ.
  • οι γυναίκες φορούν άνετα παπούτσια με χαμηλό τακούνι.
  • κάντε φυσικοθεραπεία

Πριν ξεκινήσετε τις θεραπευτικές ασκήσεις, θα πρέπει οπωσδήποτε να συμβουλευτείτε το γιατρό σας. Οι ασκήσεις εκτελούνται με αργό ρυθμό. Εάν παρουσιαστεί πόνος ή ενόχληση κατά τη διάρκεια της γυμναστικής, οι ασκήσεις πρέπει να σταματήσουν.

Είναι απαραίτητο να χρησιμοποιείτε μόνο αποτελεσματικά φάρμακα. Το τρίψιμο, οι κομπρέσες και άλλες λαϊκές μέθοδοι είναι αναποτελεσματικές. δεν δρουν στην αιτία της νόσου, αλλά βοηθούν μόνο στην απόσπαση της προσοχής από τον πόνο. Αποφύγετε τραυματισμούς και υπερφόρτωση - άλματα, μεταφορά βαριών αντικειμένων, αρκετή ώρα ορθοστασίας ή καθιστή θέση σε άβολη θέση. Αυτό επιταχύνει την εξέλιξη της νόσου.

Είναι επίσης απαραίτητο να γίνει έγκαιρη διάγνωση και θεραπεία της ρευματοειδούς αρθρίτιδας, της ουρικής αρθρίτιδας και των συστηματικών παθήσεων.

Ποιοι παράγοντες επηρεάζουν τη μακροπρόθεσμη πρόγνωση της αρθροπάθειας του γόνατος;

Η πρόγνωση εξαρτάται από το στάδιο στο οποίο ο ασθενής πήγε στον γιατρό και τη σωστή θεραπεία. Όσο πιο γρήγορα ξεκινήσετε την κατάλληλη θεραπεία, τόσο μεγαλύτερες είναι οι πιθανότητες να αποφύγετε τη χειρουργική επέμβαση.